Love at First Trial: Katie’s Trial Smile Veneers
Katie Cook has been a dental assistant for Dr. Chan since 2015, allowing her a first-hand look at the ins and outs of the Mayfield Smiles dental practice. That’s why, when it came time to improve her own smile, she fully trusted her colleagues to take care of her.
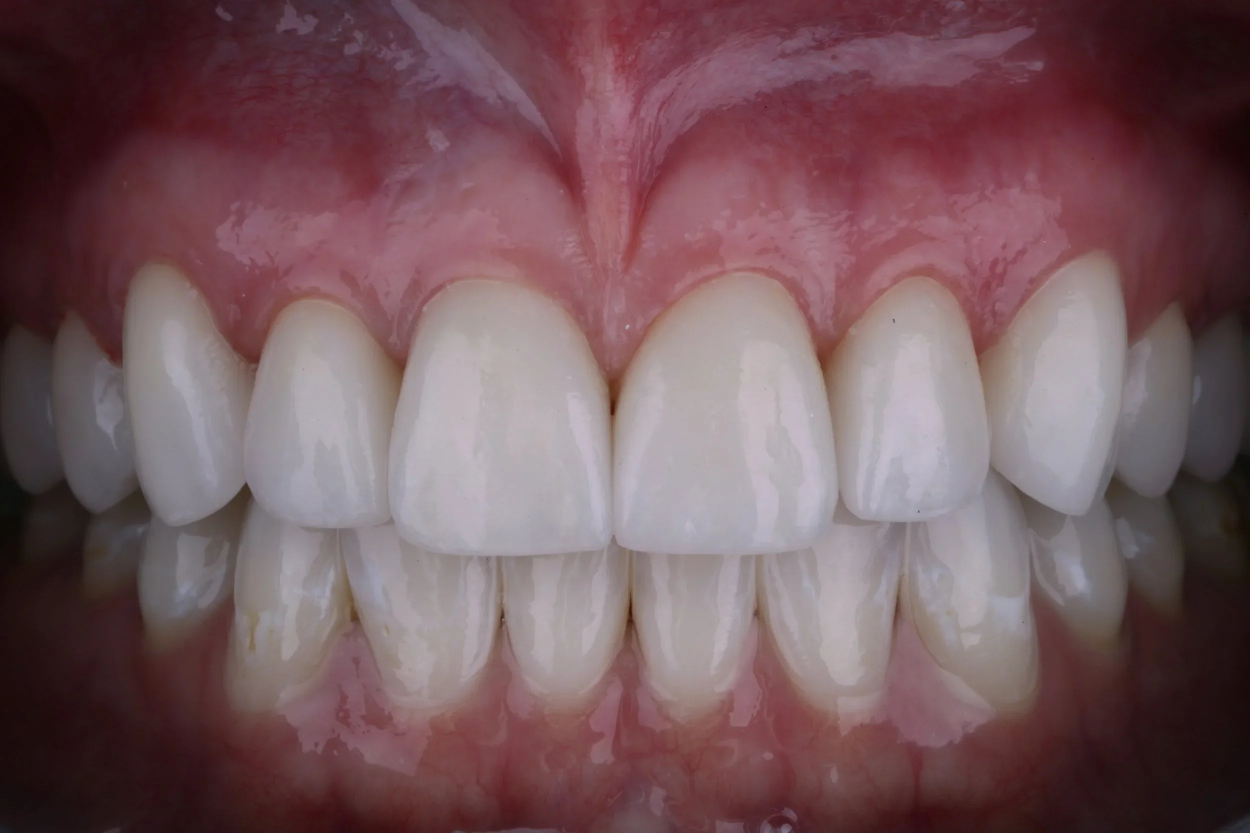
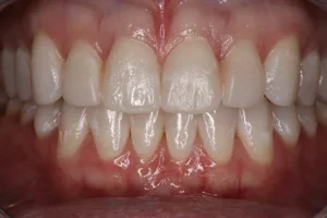
“I received veneers from Dr. Hudec,” Katie explained. “I had old restorations on the front of my teeth that were discoloring and I wasn’t really happy with my smile. I always felt self-conscious when I smiled. So, Dr. Hudec had me do a Trial Smile.”
A Trial Smile is a process in which the Mayfield Smiles staff scans your mouth and sends the photos to the lab. The lab then creates a customized mock-up of what your teeth will look like once the dental work is complete.
“When I saw it, I knew I wanted to continue with the process and get the veneers done,” Katie said.
Katie received porcelain veneers - thin, tooth-colored trays that were custom-made for her teeth. These trays were bonded to the front of her teeth to create a bright and natural-looking smile.
“Dr. Hudec explained every step of the process. He told me what was going to happen next and what we were doing,” shared Katie. “He made me feel very comfortable, especially because I have a lot of anxiety when it comes to the dentist.”
Katie said that she is very happy with her experience at Mayfield Smiles, not only as a member of the support team but also as a patient.
“Mayfield Smiles makes all of their patients feel very welcomed. We have a very personable staff and accommodating hours. The atmosphere is very relaxed, and the quality of dental care speaks for itself.”
Dental veneers are one of the most common procedures at Mayfield Smiles. If you would like to learn more about our cosmetic dentistry services or see if you might be a candidate for our Trial Smile program, give us a call at 440-461-5482.

