COSMETIC DENTISTRY

Cosmetic Dentistry at Mayfield Smiles in Mayfield, OH

Your smile is one of the first things people notice—and at Mayfield Smiles, we want you to feel confident every time you show it. Our experienced cosmetic dentists, Dr. Chan, Dr. LoPresti, Dr. Schuster, and Dr. Hudec, provide customized cosmetic dental treatments in Mayfield that enhance your natural beauty while keeping your teeth healthy and strong.

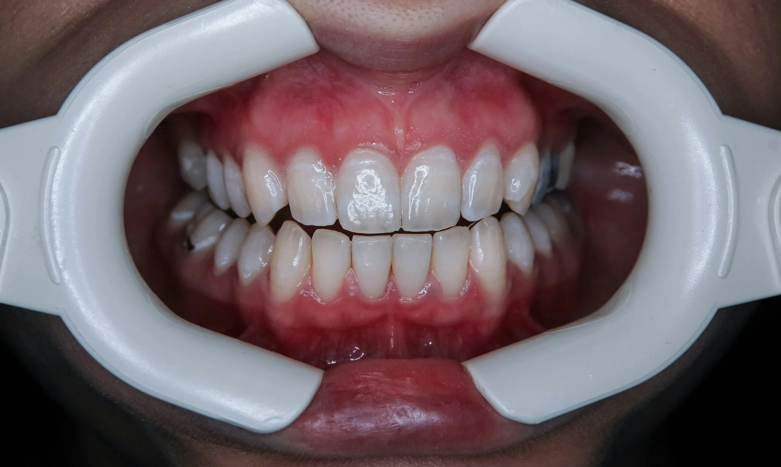
Porcelain Veneers

Porcelain veneers are one of the most popular cosmetic treatments we offer. These thin, custom-made shells are bonded to the front of your teeth to improve:

  • Tooth color and brightness

  • Shape and size of teeth

  • Alignment and spacing (closing gaps)

  • Chips, cracks, or worn enamel

Close-up of a woman's face showing her lips and teeth as she smiles slightly.

Because they are crafted from high-quality porcelain, our dental veneers:

  • Look natural and blend seamlessly with your smile

  • Resist staining better than natural teeth

  • Can last for many years with proper care

Whether you want a subtle refresh or a complete smile makeover, porcelain veneers are a reliable and long-lasting solution for patients in the Cleveland area.

Professional Teeth Whitening

A brighter smile can boost your confidence—and at Mayfield Smiles, we make it easy with professional teeth whitening options.

  • In-Office Whitening: Quick results with professional-grade whitening agents administered by our dental team.

  • Custom Take-Home Trays: Convenient whitening at home with dentist-supervised results.

  • Targeted Whitening: Choose upper, lower, or both arches depending on how your smile shows.

Our treatments are safe, effective, and customized for your smile. We recommend consulting with our Mayfield cosmetic dentists before using over-the-counter whitening products to avoid tooth sensitivity or uneven results.

Refresh Your Smile Today

Discover the difference professional cosmetic dentistry can make. Call us at (440) 461-5482 or request an appointment online to get started to get started with porcelain veneers or teeth whitening.

Committed to Clean & Safe Care

Mayfield Smiles strives to provide a clean, safe and comfortable environment that protects clients and team members alike and helps control the spread of infections. Patients can rest assured that we follow the guidelines from the Occupational Safety & Health Administration (OSHA), the Environmental Protection Agency (EPA), the Centers for Disease Control (CDC),and the Ohio State Dental Board, as well as others to ensure the safest, most comfortable environment possible.

Icon of a calendar with one date marked with a checkmark.
Blue circle with a white telephone handset icon in the center.
Two overlapping speech bubbles, one with three lines of text, representing conversation or communication.