DID YOU KNOW?
Learn about your caring team of professionals at Mayfield Smiles by reading some of our blogs below!

Sparkle & Shine: Now Offering Dental Decals & Embellishments at Mayfield Smiles
Looking to spruce up your smile with a little bling? Mayfield Smiles now offers decals and decorative covers for your crowns!

How to Maximize Your Dental Benefits Before the Year Ends & Other Insurance FAQs
Most dental insurance benefits expire at the end of the calendar year. Here’s how you can make the most of your remaining benefits at Mayfield Smiles!

Dr. Chan Completes Dental Implants Course as Part of Continuing Education
Recently, Dr. Chan attended a dental implant course in her hometown of Chicago, IL.

Achieve Straighter Teeth with SureSmile® Clear Aligners
Looking for a discreet way to achieve a straighter smile? Learn more about SureSmile® Clear Aligners, a customized orthodontic treatment available at Mayfield Smiles.

Recognizing the Symptoms of Oral Cancer
When it comes to oral cancer, early prevention and detection are key. Here’s what to look for.

4 Dentist-Recommended Tips for Avoiding Bad Breath
Want to avoid bad breath? Check out these helpful tips to keep your mouth smelling and feeling fresh all day!

What to Do If You Have a Dental Emergency
Knowing how to handle a dental emergency before it happens can be incredibly helpful should an incident occur. Here are the steps to follow if you chip, crack, or lose a tooth!

Discounted Kids Electric Toothbrushes On Sale for a Limited Time!
End the battle with brushing! For a limited time only, we have Disney-themed kids' electric toothbrushes on sale in our office for $20 (originally valued at $35).

Family of Four: Drs. Chan and Hudec Welcome Their Second Son
The Mayfield Smiles community has gotten a little bit bigger! Learn more about Dr. Maemie Chan and Dr. David Hudec’s second-born son, Adam, who arrived this past December.

Providing Efficient Service for Busy Patients
Gloria C. has been a patient at Mayfield Smiles for about a year now. But her most memorable trip to our office so far? “I received the fastest root canal I’ve ever gotten done in my life!”

Dental Care Worth Raving About
Jim C. has been a Mayfield Smiles patient for over seven years now, and he’s not afraid to spread the word about the incredible patient care he has received. Here’s why.

Building Our Patients’ Trust, One Visit at a Time
“I was having some intense tooth pain, so I went to my dentist at the time and they immediately suggested that I needed to have my wisdom teeth removed. I didn’t trust the diagnosis, so I reached out to Dr. Chan for a second opinion.”

APIDAA Heritage Month: Meet Maemie Chan
Last month was Asian, Pacific Islander, Desi and Asian American (APIDAA) Heritage Month, and Mayfield Smiles’ very own Dr. Maemie Chan was featured in an article by Case Western Reserve University, where she attended dental school.
Flying 1,000 Miles for Mayfield Smiles’ Top Dental Care
While Mayfield Smiles routinely serves patients and families throughout Northeast Ohio, Dakota Thomas, a Florida resident, had the opportunity to receive dental care from Dr. Hudec and Dr. Chan and she didn’t hesitate to take it.

Mayfield Smiles Introduces Innovative 3D X-Ray and Imaging Machine
The Mayfield Smiles team recently underwent training to master their use of the office’s new Planmeca ProMax® 3D Plus, a 3D Panoramic/CBCT unit.

Mayfield Smiles Loves Caring for Families
Kathi Adamic has been trusting her family’s dental care to Mayfield Smiles for years. In honor of Mother’s Day, read her full story and enter to win a restaurant gift card for extra quality time with your own family!

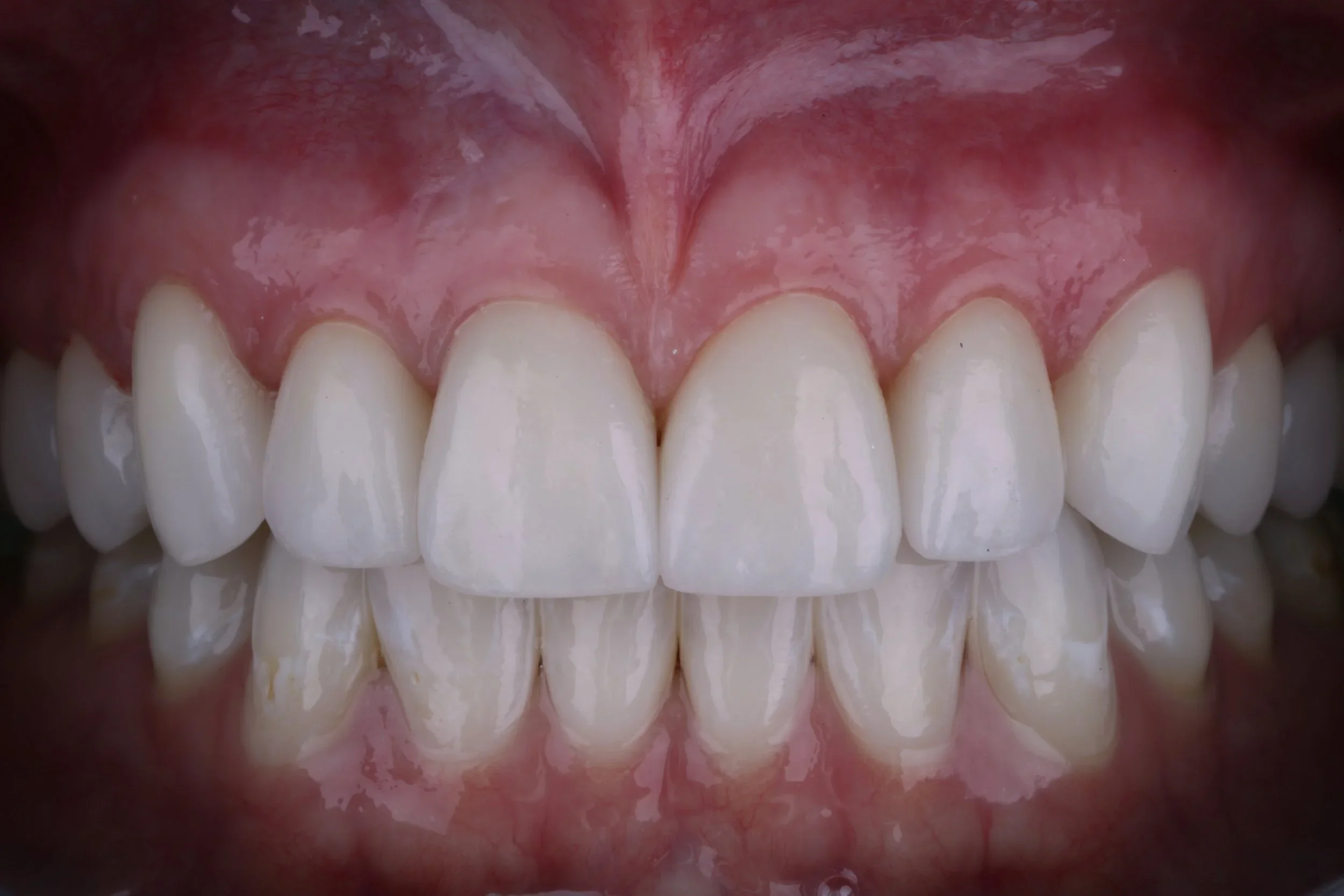
Love at First Trial: Katie’s Trial Smile Veneers
As a dental assistant, Katie has a first-hand look at the ins and outs of the Mayfield Smiles dental practice. That’s why, when it came time to improve her own smile, she fully trusted her colleagues to apply her veneers with a custom Trial Smile procedure.

Expertise In Action: Dr. Chan Completes Advanced Dental Implant Mini-Residency Program
Dr. Chan spent two months learning about advanced surgical procedures, including dental implants.

It’s All Smiles: Dr. Hudec Completes Advanced Cosmetic Dentistry Course
Last fall, Dr. Hudec trained under a world-renowned dental educator to refine his skills in advanced cosmetic dentistry.

Mayfield Smiles Staff Spotlight: Dr. John Schuster
Dr. Schuster joined the dental staff in April 2019 and has brought a wealth of experience to our office since then - both personally and professionally!